
股関節の構造(関節の仕組みと左右の違い)
「左側だけ痛む」ときの特徴とは
変形性股関節症(最も多い原因)
・特徴・症状(動き始めの痛み/進行度)
・痛みが片側に出やすい理由 ※臼蓋形成不全との関連も掲載。
股関節唇損傷・FAI(関節内部の問題)
・鋭い痛み・引っかかり感の出方
・スポーツや姿勢との関連。
筋肉・靭帯・関節包の炎症(非疾患性)
・筋肉の緊張・使いすぎ
・姿勢や骨盤のアンバランスによる負担 など。
坐骨神経痛・腰椎からの関連痛
・股関節自体ではなく関連痛が出るパターン。
スポーツ・鼠径部痛症候群などの特殊なケース
・走る動作や蹴る動作で誘発される痛み。
歩行・立ち上がり時に痛い
安静時・夜間に痛い
股関節を曲げると痛む
しびれや放散痛がある場合
受診すべきサイン(痛みの継続・動作制限・発赤・腫れ など)
整形外科での検査(レントゲン・MRI など)
疾患ごとの診断フロー(例:変形性股関節症/関節唇損傷 など)
保存療法(リハビリ/ストレッチ/生活習慣改善)
薬物療法・注射療法
手術が選択される場合
日常生活での注意点(歩き方・姿勢・体重管理)

「左だけがズキッとするんです。右は平気なのに…」
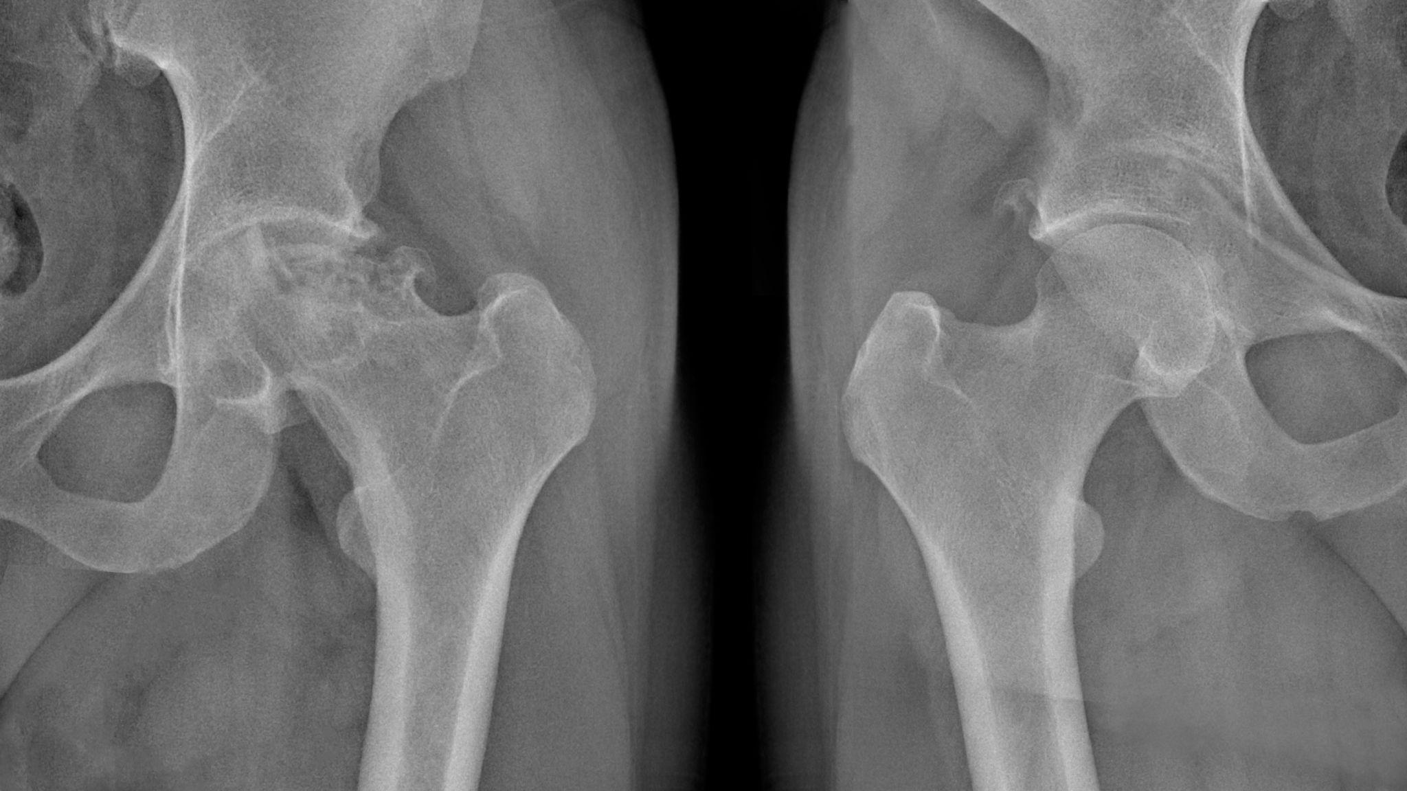
外来でもよく聞く声ですが、まず大切なのは股関節のつくりと働きを知ることだと言われています。仕組みがわかると、なぜ片側に負担が集まりやすいのか想像しやすくなるんですね。ここでは基礎から一緒に整理していきましょう。
股関節は、骨盤のくぼみに太ももの骨の丸い部分がはまり込む球関節と呼ばれるタイプです。体重を支えながら、立つ・歩く・しゃがむといった動きを助ける重要な役目を持つと言われています。
「左右で形は同じなの?」と疑問に思う方もいますよね。基本的な構造は似ていますが、筋肉のつき方や普段の体の使い方によって働き方には差が出やすいそうです。たとえば利き足ばかり使う生活が続くと、片方の関節に負荷が偏ることがあると報告されています。
引用元:https://kumanomi-seikotu.com/blog/7073/
では、なぜ左股関節の痛みとして感じやすいのでしょうか。
「立つとき無意識に左へ体重を乗せていませんか?」と尋ねられることが多いですが、骨盤の傾きや姿勢のクセが影響する可能性があると言われています。
長時間のデスクワーク、バッグを同じ側で持つ習慣、脚を組む方向など、小さな積み重ねが関節や周囲の筋肉の緊張につながるケースもあるそうです。「特別なケガをした覚えがないのに痛い」という相談が多いのも、このためだと考えられています。
つまり、片側の痛みは突然起きたように見えて、日常動作の中で少しずつ負担が蓄積した結果として現れることがある、という見方が紹介されています。
引用元:https://kumanomi-seikotu.com/blog/7073/
#左股関節の痛み
#股関節の構造
#片側だけ痛む理由
#姿勢バランス
#股関節セルフチェック



「この左股関節の痛み、様子を見ていいのかな…」
迷いますよね。軽い違和感なら自然に落ち着くこともありますが、なかには専門的な確認が必要になるケースもあると言われています。ここでは、来院を考える目安と、どんな流れで状態を見ていくのかを整理してみましょう。
まず注目したいのは時間です。数日から数週間たっても左股関節の痛みが変わらない場合、詳しく確認した方がよいことがあると言われています。
さらに、歩く距離が短くなってきた、関節が動かしづらい、熱っぽさや腫れを感じる、といった変化も判断材料になるそうです。「前より悪くなっている気がする」という感覚も大切なサインとして扱われることがあると紹介されています。
引用元:https://kumanomi-seikotu.com/blog/7073/
「行ったら何をするの?」と不安になる方もいますよね。一般的には、まず体の動きや痛む場所を確認し、そのうえで画像検査を組み合わせていく流れが多いと言われています。
レントゲンでは骨の形や隙間の変化を見て、必要に応じてMRIなどで軟骨や関節内部の様子を確認することがあるそうです。段階的に情報を集めながら原因を絞っていく方法がとられると解説されています。
引用元:https://kumanomi-seikotu.com/blog/7073/
疑われる状態によって、確認の仕方も変わると言われています。たとえば変形性股関節症では可動域や歩き方の特徴が参考になることがあるそうです。
一方で、関節唇損傷のように内部の問題が想定される場合、特定の角度での痛みの出方が手がかりになるとも紹介されています。いくつかの情報を重ね合わせながら判断していく流れが一般的だとされています。
引用元:https://kumanomi-seikotu.com/blog/7073/
#左股関節の痛み
#来院の目安
#整形外科の検査
#レントゲンMRI
#股関節トラブル

「左股関節の痛みって、どうやって向き合えばいいの?」
来院された方から本当によく聞く質問です。状態によって選ばれる方法は変わるため、段階を踏みながら進めていくことが多いと言われています。ここでは代表的な考え方を見ていきましょう。
まず検討されることが多いのは、体への負担を減らす取り組みだと紹介されています。筋力のバランスを整えたり、関節の動きを保つ運動を行ったりする方法ですね。
「運動で変わるの?」と思うかもしれませんが、使い方のクセを見直すことが痛みの軽減につながる可能性があると言われています。急に強い負荷をかけるのではなく、段階的に進めるのが一般的だそうです。
引用元:https://kumanomi-seikotu.com/blog/7073/
痛みが強い時期には、炎症を抑える方法が選択肢に入ることがあると言われています。内服や注射によって日常生活を送りやすくする目的があると説明されています。
これは根本的な解決というより、負担を減らしながら次のステップへ進むためのサポートとして使われることが多いようです。
引用元:https://kumanomi-seikotu.com/blog/7073/
保存的な方法で変化が乏しい場合に、別の方法が検討されることもあると言われています。関節の状態や生活への影響度を総合的に見ながら判断される流れが一般的だそうです。
すぐに決まるというより、複数の条件を確認しながら慎重に考えていくことが多いと紹介されています。
引用元:https://kumanomi-seikotu.com/blog/7073/
実は、毎日の動作がとても大きな要素になると言われています。片足に偏らない立ち方、無理のない歩幅、長時間同じ姿勢を避けることなどがポイントになるようです。
体重の増減が関節への負担量に関係するという考え方もあり、生活習慣を整えることが結果的に症状の安定につながる可能性があると説明されています。
引用元:https://kumanomi-seikotu.com/blog/7073/
#左股関節の痛み
#保存療法
#股関節の注射
#手術の判断
#姿勢改善